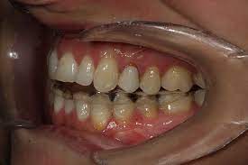
Es común que las personas aprietan la mandíbula y rechinen los dientes. Esta condición también se conoce como bruxismo. El bruxismo, el rechinar y/o apretar pueden ocurrir durante la noche cuando está dormido o durante el día y para algunas personas puede ocurrir durante el día y la noche. Es más común apretar o rechinar los dientes durante la noche de forma inconsciente. Durante el día, la mayoría de las personas logran dejar de rechinar o apretar conscientemente.
Hay una serie de factores que afectan el rechinar y apretar los dientes.
El tratamiento más utilizado para el bruxismo es la fabricación de un aparato de mordida que debe llevar puesto por la noche. Este tipo de aparato tiene numerosas variaciones y nombres como oclusal planos de relajación , planos de protección o Bite Splint, Michigan Splint, Tanner Splint o B-splint. La férula de mordida protegerá sus dientes de un mayor desgaste y daño dental. La férula de mordida posicionará su mandíbula para proteger su articulación de mandíbula ATM de una sobrecarga y mantendrá su articulación en su posición ideal. La férula para morder también mantendrá los músculos en una posición relajada para evitar espasmos y dolores musculares. Las férulas para morder ayudarán a controlar los efectos del bruxismo.
Si los ronquidos también son un problema, podemos fabricarle un dispositivo de avance mandibular o un dispositivo para roncar que puede ayudar tanto con los ronquidos como con el bruxismo.
Muchas personas que rechinan o aprietan los dientes también presentan mandíbulas cuadradas debido a un músculo masetero hipertrofiado (agrandado). La hiperactividad del músculo conduce a su agrandamiento, lo que conduce a una mayor hiperactividad y el ciclo continúa. También se recomienda reducir los estimulantes como el alcohol, la cafeína y el tabaquismo, ya que pueden exacerbar el bruxismo; moler y apretar.
El uso de técnicas de relajación, el yoga y la meditación también pueden ayudar a abordar cualquier tensión muscular y estrés que puedan estar involucrados en la causa de su bruxismo.
Los ronquidos pueden alterar la calidad de su sueño, lo que puede provocar problemas de salud, fatiga y problemas de concentración. Los ronquidos intensos no solo son molestos, sino que también pueden ser perjudiciales para la salud.
Los ronquidos ocurren cuando el aire no puede pasar libremente por la nariz y la garganta. Durante el sueño, los músculos de las vías respiratorias se estrechan y relajan. Esto hace que los tejidos de las vías respiratorias vibren al respirar, provocando el sonido áspero que conocemos como ronquidos.
Los ronquidos pueden ocurrir con mayor frecuencia debido a la edad, los problemas nasales y de los senos paranasales y el sobrepeso. Además, dormir boca arriba, fumar y el consumo excesivo de alcohol también pueden ser factores que contribuyen a los ronquidos.
Mientras que los ronquidos leves ocasionales son inofensivos, los ronquidos fuertes pueden ser graves y pueden ser un indicio de una condición de salud como la apnea obstructiva del sueño.
La apnea obstructiva del sueño es una afección en la que la respiración se vuelve muy superficial e incluso puede detenerse por completo durante el sueño. Esto se debe a la obstrucción del flujo de aire en las vías respiratorias. Los ronquidos intensos son una característica de la apnea obstructiva del sueño.
Las personas con apnea obstructiva del sueño grave pueden tener cientos de episodios de apnea del sueño por noche. Estos episodios reducen los niveles de oxígeno en la sangre y pueden despertarse sobresaltado.
Tener apnea obstructiva del sueño también puede aumentar el riesgo de accidentes cerebrovasculares, ataques cardíacos y presión arterial alta.
Hay muchas soluciones simples que pueden reducir los ronquidos y mejorar la calidad del sueño:
Una de las mejores soluciones para los ronquidos y la apnea obstructiva del sueño de leve a moderada es utilizar un dispositivo antirronquidos.
En CIMAX, podemos tratar sus ronquidos y apnea obstructiva del sueño con un dispositivo antirronquidos.
Los dispositivos anti ronquidos son dispositivos dentales que se usan mientras duerme. El dispositivo mueve la mandíbula inferior hacia adelante hasta una posición cómoda, lo que permite la relajación de los tejidos de la garganta y garantiza un sueño silencioso e ininterrumpido. Muchos de nuestros pacientes prefieren los dispositivos antirronquidos a otras soluciones por su eficacia y nivel de comodidad.
Nuestros dispositivos anti ronquidos se adaptan al paciente individual y están clínicamente probados con el 91% de los pacientes que informan una mejora en la calidad del sueño.