Teléfonos

Contactanos en cualquier momento.

+591 2 2793708
+591 70616754
+591 70611591

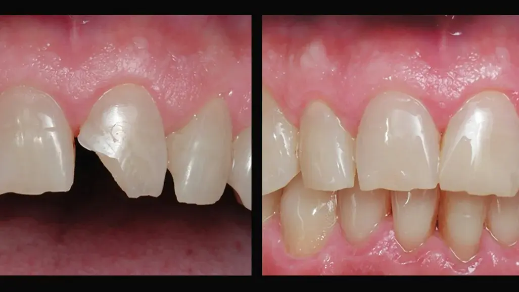
Resinas dentales


Las resinas son un procedimiento disponible en nuestra clínica dental CIMAX. Son uno de los procedimientos dentales más comunes y se pueden utilizar tanto para reparar daños como para mejorar la apariencia estética.

Razones para necesitar una obturación dental


La razón más común por la que se necesita una obturación, es para reparar un diente dañado por caries. Sin embargo, no es solo la caries dental para lo que se usan las resinas como tratamiento. También se pueden usar para reparar un diente agrietado o roto, o uno que esté desgastado, por ejemplo, por rechinar demasiado.

La descomposición es causada por bacterias que se alimentan de trozos de comida que no han sido alcanzados por la limpieza. Puede volverse extenso antes de que lo notes o sientas dolor. Tus dientes deben ser revisados regularmente para detectar signos de caries, para que cualquier caries pueda tratarse lo antes posible./p>

A medida que un diente tiene caries, se forma una cavidad, que en realidad es un agujero. Si la cavidad resultante de la caries dental no se limpia y se deja sin rellenar, la caries se propaga aún más y puede causar un dolor significativo y, en última instancia, la pérdida total del diente. Al obturar un diente, se detiene la propagación de la caries y cualquier dolor asociado, y el diente puede volver a funcionar normalmente.

Conseguir una restauración dental


Creamos rellenos con excelente función y estética. Están esculpidos para recrear la forma y la fuerza del diente original utilizando materiales cerámicos o compuestos. Utilizamos técnicas de estratificación para nuestras restauraciones compuestas para imitar la estructura natural del diente, el tono y el reflejo de la luz.

La primera etapa en el proceso de relleno dental es adormecer el área alrededor del diente con anestesia local, esta etapa es opcional dependiendo de la profundidad y la presencia de dolor en la pieza.

Esto evitará que sienta dolor mientras se lleva a cabo el procedimiento. A continuación, utilizando herramientas dentales, eliminaremos las caries y/o repararemos el área dañada, luego agregaremos un material compuesto fuerte, similar a un diente, y le daremos forma para que coincida con los dientes circundantes.

El procedimiento suele durar unos 30 minutos en total, dependiendo de la forma, la ubicación y la extensión de dicha cavidad.

Todo nuestro trabajo es al más alto nivel utilizando materiales de la más alta calidad. Las obturaciones normalmente duran de 5 a 15 años, según sus hábitos alimenticios y de higiene bucal, después de lo cual es posible que deba reemplazarlos si se desgastan, agrietan o decoloran.

Como alternativa a los empastes, para mejorar la apariencia de los dientes dañados, las carillas, coronas , implantes y puentes, son alternativas. Discutiremos las opciones con usted y le asesoraremos sobre lo que creemos que es el mejor curso de tratamiento en función de sus circunstancias específicas.

Chatea con nosotros